TR:
:+17175469334
Full Mouth Dental Implants Turkey: Cost, Packages, Procedure & Results 2026
Healthy Türkiye helps you find the best full mouth dental implants in Turkey at affordable prices and adopts a 360-degree service approach in all areas of health through affiliated hospitals.
- Medical Treatment
- Dental Treatment in Turkey
- Cleft Lip Repair Surgery in Turkey
- Jaw Surgery in Turkey
- Laminate Veneers in Turkey
- Dental Braces in Turkey
- Cosmetic Dentistry in Turkey
- Dental Bridge in Turkey
- Dental Crowns in Turkey
- Dental Implants in Turkey: Prices, Treatment, Results & Full Set Packages
- Dentures in Turkey
- E-Max Crowns in Turkey
- Emax Laminate Veneers in Turkey
- Porcelain Veneers in Turkey: Cost, Procedure, Packages 2026
- Root Canal Treatment in Turkey
- Flap Surgery in Turkey
- Apicoectomy in Turkey
- Dental Bonding in Turkey
- Dental Bone Graft in Turkey
- Dental Examination in Turkey
- Gingivectomy in Turkey
- Wisdom Tooth Removal in Turkey
- Zirconium Crown in Turkey
- Intraocular Lens Implants in Turkey
- Periodontics Treatment in Turkey
- Tooth Enamel Repair in Turkey
- Tooth Filling in Turkey
- All On 6 Dental Implants in Turkey 2026
- All on 4 Dental Implant Turkey: Cost, Procedure, Before & After Results
- Cleft Palate Repair Surgery in Turkey
- Laser Teeth Whitening in Turkey
- Oral Surgery in Turkey
- Orthodontic Treatment in Turkey
- Prosthodontic Treatment in Turkey
- Teeth Cleaning in Turkey
- Tooth Extraction in Turkey
- Maxillofacial Surgery in Turkey
- Lumineers in Turkey
- Teeth Whitening in Turkey
- Gum Contouring in Turkey
- Prosthetic Dentistry in Turkey
- Sinus Lift in Turkey
- Hollywood Smile in Turkey
- Veneers in Turkey 2026 Comprehensive Guide
- Invisalign Treatment in Turkey
- Full Mouth Dental Implants Turkey: Cost, Packages, Procedure & Results 2026
- All on 8 Dental Implants in Turkey: Cost, Procedure, Results & Full Dental Packages
- 3 on 6 Dental Implant Turkey: Cost, Procedure, Packages, Pros and Cons 2026
- Composite Veneers in Turkey
- Non-Surgical Dental Implants in Turkey
- Homepage
- Medical Treatment
- Full Mouth Dental Implants Turkey: Cost, Packages, Procedure & Results 2026
- What Are Full Mouth Dental Implants in Turkey?
- Types of Full Mouth Dental Implants in Turkey
- Why Choose Turkey for Full Mouth Dental Implants?
- Full Mouth Dental Implants Turkey Cost 2026
- Full Mouth Dental Implants Turkey Price Table
- Full Mouth Dental Implants Turkey Package Deals
- Full Mouth Dental Implants Turkey Step by Step
- How Long Does Full Mouth Dental Implants Take?
- Who Is a Candidate for Full Mouth Implants Turkey?
- How Long Do Full Mouth Dental Implants Turkey Last?
- Recovery and Aftercare for Full Mouth Implants
- How to Choose the Best Clinic in Turkey?

What Are Full Mouth Dental Implants in Turkey?
Full mouth dental implants Turkey refer to a comprehensive dental restoration procedure in which all missing or severely damaged teeth are replaced with implant-supported prosthetic teeth. This treatment is designed for patients who have lost most or all of their teeth or who suffer from advanced dental problems that cannot be resolved with conventional treatments.
Unlike traditional solutions, full mouth implants Turkey provide a fixed, long-term alternative that closely mimics natural teeth in both function and appearance. Titanium dental implants are surgically placed into the jawbone, where they integrate through a biological process called osseointegration. These implants act as artificial tooth roots and support a full set of prosthetic teeth.
Full mouth dental implants in Turkey can be designed as either fixed or removable systems:
- Fixed systems: Permanently attached prosthetic teeth that function like natural teeth and cannot be removed by the patient
- Removable systems: Implant-supported dentures that can be removed for cleaning but offer improved stability compared to traditional dentures
The most commonly used techniques in full mouth dental implants Turkey include:
- All-on-4 dental implants Turkey: A full arch of teeth supported by four strategically placed implants
- All-on-6 dental implants Turkey: Provides increased stability with six implants per arch
- All-on-8 systems: Used in more complex cases requiring additional support
Full mouth dental implants in Turkey are suitable for patients who:
- Have complete tooth loss in one or both jaws
- Suffer from severe tooth decay or gum disease
- Experience difficulty with traditional dentures
- Seek a permanent and natural-looking solution
Full-Arch Implants Turkey
Full mouth dental implants Turkey are becoming an increasingly popular choice for patients seeking to restore their entire smile in one go. Undergoing a full mouth dental implant restoration is a major decision – it transforms not only your smile, but also your quality of life. Turkey has proven itself as a leading destination to have this life-changing procedure done affordably and expertly. By choosing full mouth dental implants Turkey, patients are able to access world-class dental care at a fraction of the cost they might pay at home, all while enjoying the comfort of all-inclusive packages and the beauty of a medical tourism-friendly country.
Full Mouth Dental Implants in Turkey
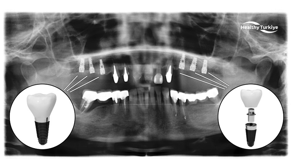
Full mouth dental implants Turkey, also known as full-arch implants or “teeth in a day” in some cases, are a permanent solution for people who have lost most or all of their teeth. Instead of replacing each missing tooth with an individual implant, a few strategically placed implants can support a full arch of prosthetic teeth. Typically, 4 to 6 implants per jaw are used to anchor a complete bridge of 10–14 teeth, fully restoring the upper or lower set. These implants are titanium posts surgically placed into the jawbone; they act as artificial tooth roots onto which a fixed prosthesis (the full set of replacement teeth) is attached. Over several months, the implants fuse with the bone in a natural process called osseointegration, creating a strong, stable foundation so the new teeth function just like real ones.
In practice, there are different systems for full mouth implants, with all on 4 and All-on-6 being common approaches. All-on-4 uses four implants per arch (often angled in the back) to support a full set of teeth, while All-on-6 uses six implants per arch for added stability in patients who have enough bone density. Both techniques achieve a full fixed denture that doesn’t need removal. Which approach is best can depend on the patient’s jawbone condition – for example, All-on-4 may be preferred if there is significant bone loss, whereas All-on-6 might be recommended for those with more robust bone and seeking extra support. In any case, the goal is the same: to provide a permanent, comfortable, and natural-looking full set of teeth anchored on implants.

Types of Full Mouth Dental Implants in Turkey
Full mouth dental implants in Turkey can be performed using different techniques depending on the patient’s bone structure, needs, and treatment goals.
All-on-4 Dental Implants
All-on-4 dental implants Turkey use four implants to support a full arch of teeth. This technique is ideal for patients with limited bone density, as angled implants maximize existing bone support. It is a cost-effective and widely preferred solution.
All-on-6 Dental Implants
All-on-6 dental implants Turkey provide additional stability by using six implants per arch. This method distributes chewing forces more evenly and is recommended for patients seeking enhanced durability and long-term performance.
Implant-Supported Dentures Turkey
Implant-supported dentures combine the benefits of implants and removable prosthetics. These dentures are secured with implants but can be removed when needed, offering improved comfort compared to traditional dentures.
Zygomatic Implants Turkey
Zygomatic implants are used in cases of severe bone loss in the upper jaw. Instead of the jawbone, these implants are anchored in the cheekbone (zygoma), eliminating the need for bone grafting and enabling full mouth dental implants in Turkey even in complex cases.
Each treatment option is selected based on detailed clinical evaluation, ensuring that full mouth dental implants Turkey provide optimal functional and aesthetic results tailored to the patient.
Why Choose Turkey for Full Mouth Dental Implants?
Full mouth dental implants in Turkey have become one of the most preferred solutions for international patients seeking high-quality, long-lasting tooth replacement. The country combines advanced dental expertise, globally recognized implant brands, and cost-effective treatment options, making it a leading destination for full mouth implants Turkey procedures.
Cost Advantage (Up to 70–80% Savings)
One of the primary reasons patients choose full mouth dental implants Turkey is the significant cost advantage compared to countries such as the UK and the USA.
In the UK and USA, full mouth dental implants can be extremely expensive due to high operational and labor costs. In contrast, Turkey offers the same level of treatment quality at a much more accessible price point.
Patients can typically save up to 70–80% while receiving:
- Advanced implant treatments
- High-quality materials
- International clinical standards
This makes full mouth implants Turkey a cost-effective solution without compromising safety or results.
Experienced Implant Surgeons
Turkey is home to highly experienced implant surgeons who specialize in complex full mouth dental implants procedures. Many professionals have international training and extensive experience in treating patients from different countries.
This expertise ensures:
- Accurate implant placement
- Proper treatment planning
- High aesthetic and functional outcomes
In full mouth dental implants Turkey, the experience of the surgeon is a critical factor in achieving long-term success and patient satisfaction.
Advanced Implant Technology
Full mouth dental implants in Turkey are performed using advanced technologies and globally recognized implant brands.
Commonly used implant systems include:
- Straumann dental implants Turkey: Premium Swiss brand known for high success rates and advanced surface technology
- Nobel Biocare implants Turkey: Innovative solutions with long-term clinical reliability
- Osstem implants Turkey: A widely used option offering a balance between quality and affordability
In addition to high-quality implant systems, clinics utilize modern digital planning tools and 3D imaging to ensure precise placement and optimal results.
All-Inclusive Packages
Another key advantage of choosing full mouth dental implants Turkey is the availability of all-inclusive treatment packages designed for international patients.
These packages typically include:
- Full dental implant treatment
- Hotel accommodation
- Airport and clinic transfers
- Multilingual patient support
This integrated approach simplifies the entire treatment journey and provides a comfortable, well-organized experience from arrival to departure.
High Success Rates (97–98%)
Full mouth dental implants in Turkey are associated with high success rates, typically ranging between 97% and 98% when performed under proper clinical conditions.
These high success rates are supported by:
- Advanced implant technology
- Experienced surgeons
- Proper patient selection and planning
- Adherence to international treatment protocols
As a result, full mouth implants Turkey offer a reliable, long-term solution for patients seeking both functional restoration and aesthetic improvement.
All these factors make Turkey a compelling choice for full mouth implants. Of course, it’s important to do your homework: there are many clinics vying for international patients, so research their credentials, read patient reviews, and ask about warranties or aftercare. Reputable clinics will be transparent about treatment plans and have no problem connecting you with previous patient testim5896onials or answering all your questions. With the right clinic, full dental implants Turkey can be a safe, comfortable, and highly rewarding experience.
Is Full Mouth Dental Implants Safe in Turkey?
Did you know Turkey is one of the most visited destinations for full mouth dental implants in the world? It is ranked one of the most visited tourist destinations for full mouth dental implants. Over the years it has also come to be a very popular medical tourism destination too with many tourists coming in for full mouth dental implants. There are so many reasons why Turkey stands out as a leading destination for full mouth dental implants. Because Turkey is both safe and easy to travel to too with a regional airport hub and flight connections to pretty much everywhere, it is preferred for full mouth dental implants.
The best hospitals in Turkey have experienced medical staff and specialists who have performed thousands of medical services such as full mouth dental implants. All procedures and coordination related to full mouth dental implants are controlled by the Ministry of Health in accordance with the law. Over many years, the greatest progress in medicine has been observed in the field of full mouth dental implants. Turkey is known among foreign patients for its great opportunities in the area of full mouth dental implants.
To emphasize, besides the price itself, the key factor in selecting a destination for full mouth dental implants is certainly the standard of medical services, the hospital staff’s high expertise, hospitality, and the safety of the country.

We Care About Your Health
Healthy Türkiye provides the best for your health and comfort. You will feel privileged with us.
7/24 Quality Personal Assistance Throughout Your Journey
Customizable for You All-Inclusive Packages
Get the Right Advice for your Health
Full Mouth Dental Implants Turkey Cost 2026
Full mouth dental implants Turkey cost is one of the most searched topics for international patients considering a complete smile restoration. Turkey offers a strong balance between affordability and high-quality dental care, making it one of the best destinations for full mouth implants Turkey treatments in 2026.
Average Full Mouth Dental Implants Turkey Cost Overview
The cost of full mouth dental implants in Turkey varies depending on the treatment type, number of implants, and materials used. On average, patients can expect significantly lower prices compared to Western countries while still benefiting from advanced implant systems and experienced surgeons.
Full mouth dental implants Turkey cost typically ranges between $6,000 and $16,000 for both jaws, depending on the complexity of the case.
Best Full Mouth Dental Implants Turkey Price
Patients searching for the best full mouth dental implants Turkey price should focus not only on affordability but also on treatment quality, materials, and clinic standards.
Turkey provides competitive pricing due to:
- Lower operational costs
- High patient volume
- Government support for medical tourism
This allows clinics to offer high-quality full mouth implants Turkey treatments at accessible price levels without compromising safety or long-term success.

Full Mouth Dental Implants Turkey Price Table
Below is a general pricing overview based on recent treatment data. Prices may vary depending on individual treatment plans and clinical requirements.
Cost by Treatment Type
| Treatment Type | Price Range (Turkey) |
|---|---|
| All-on-4 (per jaw) | $3,000 – $6,000 |
| All-on-6 (per jaw) | $4,500 – $9,000 |
| Full mouth (both jaws) | $6,000 – $16,000 |
The choice between All-on-4 dental implants Turkey and All-on-6 dental implants Turkey significantly impacts the overall cost, as it determines the number of implants and level of stability.
Turkey vs UK vs USA Cost
| Country | Average Cost |
|---|---|
| Turkey | $6,000 – $16,000 |
| UK | $20,000 – $40,000 |
| USA | $25,000 – $50,000 |
This comparison clearly shows why full mouth dental implants Turkey is considered a cost-effective solution, offering savings of up to 70–80% compared to the UK and USA.
Full Mouth Dental Implants Turkey Package Prices
Full mouth dental implants Turkey package prices are designed to simplify the treatment journey for international patients. Instead of paying separately for each service, patients benefit from bundled packages that combine treatment and travel services.
Typical packages may include:
- Implant surgery and prosthetic teeth
- Consultation and 3D imaging
- Hotel accommodation
- Airport and clinic transfers
- Multilingual patient support
These packages provide both convenience and cost efficiency, making full mouth implants Turkey a preferred choice for dental tourism.
What Affects the Full Mouth Dental Implants Turkey Price?
The final price of full mouth dental implants in Turkey depends on several key factors:
- Number of implants: More implants increase stability but also cost
- Material selection: Zirconia prosthetics are more durable and aesthetic, while acrylic options are more affordable
- Bone grafting needs: Additional procedures such as bone grafts or sinus lifts can increase the total cost
- Clinic and dentist experience: Highly experienced surgeons and premium clinics may charge higher fees
- Additional procedures: Extractions, temporary teeth, or advanced treatments may affect pricing
Since each case is unique, full mouth dental implants Turkey cost is always determined after a detailed clinical evaluation and personalized treatment planning.
Why Is Full Mouth Dental Implants Cheaper in Turkey?
One of the main considerations before traveling abroad for full mouth dental implants is the cost-effectiveness of the whole process. Many patients think that when they add flight tickets and hotel expenses to their full mouth dental implants costs, it will become very expensive to travel, which is not true. Contrary to popular belief, round-trip flight tickets to Turkey for full mouth dental implants can be booked very affordably.
In this case, assuming you are staying in Turkey for your full mouth dental implants, your total travel expense of flight tickets and accommodation will only cost less than any other developed country, which is nothing compared to the amount that you are saving.
The question “why full mouth dental implants cheaper in Turkey?” is so common between patients or people simply curious about getting their medical treatment in Turkey. When it comes to full mouth dental implants turkey price, there are 3 factors allowing cheaper prices:
The currency exchange is favorable for whoever looking for full mouth dental implants has a euro, dollar, or pound;
The lower cost of living and cheaper overall medical expenses such as full mouth dental implants;
For full mouth dental implants, incentives are given by the Turkish Government to medical clinics working with international clients;
All these factors allow for cheaper full mouth dental implants prices, but let’s be clear, these prices are cheaper for people with strong currencies (as we said, euro, dollar, Canadian dollar, pound, etc).
Every year, thousands of patients from all over the world come to Turkey to get full mouth dental implants. The success of the healthcare system has increased in recent years, especially for full mouth dental implants. It’s easy to find well-educated and English-speaking medical professionals in Turkey for all kinds of medical treatment such as full mouth dental implants.
Full Mouth Dental Implants Turkey Package Deals
Healthy Türkiye offers all-inclusive full mouth dental implants turkey package deals at much lower prices. Extremely professional and experienced doctors and technicians carry out the high-quality full mouth dental implants. The cost of full mouth dental implants in European countries can be quite expensive, especially in the UK. Healthy Türkiye provides cheap all-inclusive packages for a long and short stay of full mouth dental implants Turkey. Because of many factors, we can provide you with many opportunities for your full mouth dental implants in Turkey.
The price of full mouth dental implants differs from other countries due to medical fees, staff labor prices, exchange rates, and market competition. You can save much more in full mouth dental implants compared to other countries in Turkey. When you purchase full mouth dental implants all-inclusive package with Healthy Türkiye our healthcare team will present of hotels for you to choose from. In full mouth dental implants travel, you will have the price of your stay included in the all-inclusive package cost.
In Turkey, when you purchase full mouth dental implants turkey package deals through Healthy Türkiye, you will always receive VIP transfers. These are provided by Healthy Türkiye, which is contracted with highly qualified hospitals for full dental implants turkey. Healthy Türkiye teams will organize everything about full mouth dental implants for you and have you picked up from the airport and safely brought to your accommodation. Once settled in the hotel, you will be transferred to and from the clinic or hospital for full mouth dental implants. After your full mouth dental implants has been successfully completed, the transfer team will return you to the airport in time for your flight home. Full mouth dental implants turkey package deals can be arranged upon request, which relaxes the minds of our patients. You can reach out to Healthy Türkiye for everything you need to know about full mouth dental implants Turkey.
What Is Included in Full Mouth Dental Implants Turkey Packages?
Full mouth dental implants Turkey packages are designed to provide a complete, well-organized treatment journey for international patients. Instead of managing each step separately, patients benefit from an integrated system that combines medical procedures, travel arrangements, and post-treatment care.
This comprehensive approach makes full mouth implants Turkey not only a high-quality solution but also a convenient and efficient experience.
Medical Services
The medical component of full mouth dental implants in Turkey includes all essential procedures required for a successful and long-lasting restoration.
Typically included medical services are:
- Consultation: Detailed evaluation, treatment planning, and personalized case analysis
- 3D CT scan: Advanced imaging for accurate implant placement and bone assessment
- Implant surgery: Placement of dental implants using modern surgical techniques
- Temporary and permanent teeth: Immediate temporary prosthesis followed by final fixed restorations
These services ensure that full mouth dental implants Turkey treatments are performed with precision, safety, and long-term success in mind.
Travel Services
Full mouth dental implants Turkey packages are specifically structured for international patients, offering seamless travel support throughout the entire process.
Travel services usually include:
- Hotel accommodation: Comfortable stay close to the clinic
- Transfer: Airport–hotel–clinic transportation arranged for all appointments
- Interpreter: Multilingual assistance to ensure clear communication during treatment
This combination allows patients to focus fully on their treatment while all logistical details are professionally managed.
Aftercare
Aftercare is a critical part of full mouth dental implants Turkey packages, ensuring that patients maintain their results and receive continuous support after the procedure.
Post-treatment services typically include:
- Follow-up checks: Clinical evaluations before departure
- Remote monitoring: Ongoing communication with the clinic after returning home
- Long-term guidance: Instructions for hygiene, maintenance, and implant care
This structured follow-up process helps protect the longevity of full mouth implants Turkey and supports optimal healing and patient satisfaction.

Full Mouth Dental Implants Turkey Step by Step
Full mouth dental implants Turkey procedure follows a carefully planned, multi-stage approach designed to ensure long-term success, functionality, and natural aesthetics. This structured process combines surgical precision with advanced prosthetic design, making full mouth implants Turkey one of the most reliable solutions for complete tooth replacement.
Below is a step-by-step overview of how full mouth dental implants in Turkey are performed:
Step 1: Consultation & Planning
The process begins with a detailed consultation and treatment planning phase. This is a critical step in full mouth dental implants Turkey, where the patient’s oral condition and expectations are carefully evaluated.
During this stage:
- Clinical examination and medical history review are completed
- 3D CT scans and digital imaging are performed
- Bone density and jaw structure are analyzed
- A personalized treatment plan is created (All-on-4, All-on-6, or alternative options)
This planning phase ensures that full mouth implants Turkey are tailored to each patient’s anatomical and functional needs.
Step 2: Implant Placement Surgery
In the second stage, dental implants are surgically placed into the jawbone. This procedure is typically performed under local anesthesia or sedation.
Key aspects of this step include:
- Placement of titanium implants into the jawbone
- Strategic positioning for maximum stability and support
- Use of advanced surgical techniques to minimize discomfort
For full mouth dental implants in Turkey, this step is crucial as it establishes the foundation for the entire restoration.
Step 3: Temporary Teeth Placement
After implant placement, temporary teeth are usually attached on the same day or within a short period.
Temporary prosthetics:
- Provide immediate aesthetic improvement
- Allow patients to eat and speak comfortably
- Protect implants during the healing phase
This immediate loading approach is one of the advantages of full mouth implants Turkey, offering fast functional and visual results.
Step 4: Healing (Osseointegration)
The healing phase, known as osseointegration, is when the implants fuse with the jawbone. This biological process is essential for long-term stability.
During this period:
- Implants integrate with the bone structure
- The foundation becomes strong enough to support permanent teeth
- Healing typically takes 3 to 6 months
Proper care during this stage significantly affects the success rate of full mouth dental implants Turkey.
Step 5: Final Teeth Placement
Once healing is complete, the final prosthetic teeth are designed and placed.
This final stage includes:
- Custom fabrication of permanent teeth (zirconia or hybrid prosthesis)
- Precise fitting and alignment adjustments
- Final aesthetic and functional evaluation
At the end of this process, patients achieve a fully restored, natural-looking smile with full mouth dental implants in Turkey, designed for durability, comfort, and long-term performance.
How Long Does Full Mouth Dental Implants Take?
The timeline for full mouth dental implants in Turkey is structured in phases to ensure both successful healing and long-term stability. Unlike simple cosmetic procedures, full mouth implants Turkey require a combination of surgical placement, biological healing, and final prosthetic restoration.
In most cases, the treatment is completed in two visits, separated by a healing period.
First Visit (5–10 Days)
The first stage of full mouth dental implants Turkey is completed during an initial visit that typically lasts between 5 and 10 days.
During this visit:
- Detailed consultation and final planning are confirmed
- 3D imaging and surgical preparation are completed
- Dental implants are placed into the jawbone
- Temporary teeth are attached for immediate function and aesthetics
This phase focuses on establishing a strong foundation for full mouth implants Turkey while allowing patients to leave with a functional temporary smile.
Healing Period (3–6 Months)
After the first visit, a healing period is required to allow osseointegration, the process where implants fuse with the jawbone.
During this stage:
- Implants integrate biologically with the bone
- The jawbone stabilizes around the implants
- Patients continue daily activities with temporary teeth
This period typically lasts between 3 to 6 months and is essential for ensuring the long-term success of full mouth dental implants in Turkey.
Second Visit (5–7 Days)
The second visit is scheduled after the healing phase and usually takes between 5 and 7 days.
During this final stage:
- Temporary teeth are replaced with permanent prosthetics
- Custom zirconia or hybrid teeth are fitted
- Final adjustments for bite, comfort, and aesthetics are completed
At the end of this visit, patients achieve a fully restored and permanent smile with full mouth dental implants Turkey, designed for durability, natural appearance, and long-term function.
Who Is a Candidate for Full Mouth Implants Turkey?
Full mouth dental implants are ideal for individuals who have lost all or most of their teeth in one or both jaws. If you struggle with an ill-fitting complete denture or have multiple failing teeth that are beyond repair, you could be a good candidate for a full mouth implant restoration. Candidates often include:
- Edentulous patients (those with no remaining teeth in the jaw) who want a fixed solution instead of removable dentures.
- People with many teeth missing or in very poor condition (due to decay, gum disease, or trauma) who are considering extracting the remaining teeth and replacing them with implants.
- Those dissatisfied with traditional dentures – for example, if you experience discomfort, difficulty eating, or embarrassment from a loose denture, implants can offer a secure alternative.
Generally, candidates should be in good overall health to undergo oral surgery. Conditions like uncontrolled diabetes or heavy smoking can affect healing, so those should be managed or addressed beforehand. Adequate jawbone volume is needed to hold implants, but even if you’ve had bone loss, procedures like bone grafts or the use of angled implants (as in All-on-4) can often overcome this issue. A thorough evaluation (including scans of your jaw) will determine if full implants are feasible and if any preparatory treatments (extractions, bone grafting, sinus lift, etc.) are necessary.
Advantages of Full Dental Implants in Turkey
Choosing full dental implants has several advantages over other tooth replacement options (such as standard dentures or multiple individual implants):
Restored Function and Comfort: Implant-supported full bridges are fixed in place, allowing you to bite and chew with almost the same strength as natural teeth. There’s no worry about dentures slipping or restricting what foods you can enjoy. Patients report high satisfaction with their ability to eat and speak normally – studies show about 97% of people are happy with their implants for function and speech. This can be life-changing if you’ve struggled with loose dentures.
Permanent, Long-Lasting Solution: Full mouth implants are designed to be a long-term investment in your oral health. With proper care, implant-supported teeth can last for decades. In fact, over 95% of modern dental implants remain successful even 10 years after placement, and many last much longer. This durability far exceeds the typical 5–8 year lifespan of a set of conventional dentures, making implants more cost-effective in the long run.
Bone Health and Facial Structure: Implants not only replace teeth above the gums but also substitute for tooth roots, stimulating the jawbone. This helps prevent the bone shrinkage that normally occurs after tooth loss. By preserving bone, full mouth implants help maintain your natural facial contours (preventing the “sunken” look that can happen with long-term denture use). They actively keep the jawbone healthy and dense by exerting pressure like natural roots.
Improved Aesthetics & Confidence: The prosthetic teeth attached to implants are custom-made, attractive, and natural-looking. They are typically crafted from high-quality materials like porcelain or zirconia for a lifelike appearance. Because they’re fixed in place, there is no plastic covering the palate or need for denture adhesives. The result is a smile that looks and feels very much like real teeth, which greatly boosts self-confidence. In one study, full-arch implant patients showed significant improvements in psychological well-being and social interaction after treatment.
Convenience and Oral Hygiene: Unlike removable dentures, full implant bridges stay in your mouth 24/7. You care for them almost exactly as you would natural teeth – regular brushing, flossing (with some special techniques or tools), and routine dental check-ups. There’s no nightly removal for cleaning or adhesive paste needed. This makes daily life with implants more convenient and maintenance straightforward. Many patients also find their speech is clearer without a denture plate to contend with.
Overall, full mouth implants offer a level of stability, comfort, and confidence that other solutions cannot match. They effectively give you back a permanent full smile, improving quality of life in numerous ways.
How Long Do Full Mouth Dental Implants Turkey Last?
Full mouth dental implants in Turkey are designed as a long-term solution for complete tooth loss. With proper planning, high-quality materials, and correct maintenance, implants offer excellent durability.
On average:
- Full mouth dental implants Turkey can last 15–25 years or more
- In many cases, implants can last a lifetime with proper care
The titanium implants placed in the jawbone are highly durable, while the prosthetic teeth (such as zirconia or hybrid restorations) may require replacement or maintenance over time depending on usage.
Factors Affecting Longevity
The lifespan of full mouth implants Turkey depends on several important factors:
- Oral hygiene: Regular brushing, flossing, and professional cleaning are essential to maintain implant health
- Smoking: Tobacco use can negatively affect healing and increase the risk of implant failure
- Bone structure: Adequate bone density and proper implant integration are critical for long-term success
Additional factors such as regular dental check-ups, proper bite alignment, and avoiding excessive pressure on implants also play a key role in maintaining long-lasting results.
With the right care and follow-up, full mouth dental implants in Turkey provide a stable, functional, and aesthetically satisfying solution for many years.
Recovery and Aftercare for Full Mouth Implants
The surgical phase of getting full mouth dental implants is just one part of the journey. Equally important is the recovery and aftercare to ensure the implants heal well and your new smile thrives. Here’s what to expect after the surgery and some tips for a smooth recovery:
Immediate Post-Surgery: Full mouth implant surgery is significant but patients are often surprised at how manageable the recovery can be. You will likely have some soreness, swelling, and minor bleeding in the gums for the first 1–2 days after the implants are placed. Your dentist will prescribe pain medication or you can use over-the-counter pain relievers; typically, discomfort is well-controlled and starts subsiding by the third day. Stitches used in the gums are usually self-dissolving within about a week. During those first days, it’s important to take it easy: rest, apply ice packs to the face to reduce swelling, and avoid strenuous activity.
Diet and Oral Hygiene: You will be put on a soft diet for a while. Generally, for about 7–10 days post-surgery, stick to soft foods (yogurt, soups, mashed vegetables, eggs, smoothies, etc.) and avoid chewing hard or crunchy foods. This protects the surgical sites as they begin healing. Despite having new temporary teeth, you’ll want to chew gently. Maintain very good oral hygiene to prevent infection – the dental team will show you how to rinse gently (often with an antibacterial mouthwash) and how to keep your mouth clean without disturbing the implants. You should be able to brush your teeth normally after the first day, just be cautious around the implant areas. Good hygiene is key to a quick recovery and long-term implant success.
Recovery Timeline: Most patients find they recover quite fast from the initial surgery. It’s not unusual to feel “back to normal” within about 3 days to a week after the procedure. Many even return to work a day or two after surgery, especially if their job isn’t physically demanding. Of course, every individual heals at their own pace – some may need a bit longer if more extensive work (like multiple extractions or bone grafts) was done simultaneously. Your final permanent teeth won’t be placed until the implants have fully integrated with your jawbone, which takes around 3–4 months (sometimes up to 6 months). During this healing phase, you’ll be wearing the high-quality temporary teeth that were attached to your implants on the day of surgery or shortly after. These temporaries look good and allow you to eat, but they may not have the full chewing force of the final set, so you still need to be somewhat careful. Once healing is complete, you’ll make your second trip to Turkey to get the permanent zirconia or porcelain teeth fitted, which feel sturdier and look exactly like a natural set of teeth.
Aftercare and Follow-Up
Before you leave Turkey after the surgery, your implant dentist will schedule a check-up (often 1–2 days post-surgery) to ensure everything is progressing well. They’ll also give you a detailed set of post-op instructions. Some key points typically include: keep up with prescribed antibiotics to prevent infection, do not smoke or use tobacco during healing (as it can severely impede recovery), maintain a soft diet as advised, and keep the mouth clean with gentle rinsing and brushing. You should also avoid alcohol for a while and get plenty of rest. It’s important to stick to all these guidelines – following your dentist’s instructions can significantly shorten recovery time and reduce the risk of complications.
Your local dentist back home can be looped in for any minor follow-up needs (like suture removal if needed, though often not necessary, or just routine check-ups to monitor healing). However, with proper care, most patients don’t have issues during the healing phase. When you return to Turkey for the final teeth, the dentist will again check that implants have integrated well (through an X-ray) before affixing the permanent prosthetics. Once the final set is on, you can enjoy your new teeth fully – chew anything you like and smile with confidence.
Long-Term Care: Full mouth implants should be cared for much like natural teeth. This means brushing twice daily (using a non-abrasive toothpaste), flossing – often special floss or water-flossers are recommended to clean under the bridge – and getting regular dental check-ups (at least annually) to ensure everything remains healthy. With good oral hygiene and regular maintenance, your implants and new teeth can truly last a lifetime.
How to Choose the Best Clinic in Turkey?
Choosing the right clinic is a critical step in achieving successful and long-lasting results with full mouth dental implants Turkey. Since this treatment involves both surgical precision and prosthetic expertise, the clinic’s quality directly affects the outcome, durability, and overall patient experience.
When evaluating options for full mouth implants Turkey, patients should focus on the following key factors:
Doctor Experience
The experience of the implant surgeon is one of the most important criteria. Full mouth dental implants in Turkey require advanced surgical skills, especially in complex cases involving bone loss or full arch restorations.
Patients should look for:
- Surgeons specialized in implantology and full mouth restorations
- Experience with All-on-4 dental implants Turkey and All-on-6 dental implants Turkey
- Proven track record with international patients
An experienced doctor ensures accurate implant placement, proper bite alignment, and long-term stability.
Case Examples
Reviewing real patient cases is essential when choosing a clinic for full mouth dental implants Turkey.
Clinics should provide:
- Authentic before and after photos
- Consistent quality across multiple full mouth cases
- Natural-looking and functional results
These case studies help patients understand the clinic’s treatment approach and expected outcomes.
Implant Brands
The quality of implant brands used in full mouth implants Turkey directly affects success rates and longevity.
Reliable clinics typically use globally recognized systems such as:
- Straumann
- Nobel Biocare
- Osstem
These brands are known for their high success rates, advanced surface technologies, and long-term clinical reliability.
Transparent Pricing
Transparent pricing is essential when planning full mouth dental implants in Turkey. Patients should clearly understand what is included in the treatment cost.
A trustworthy clinic should provide:
- Detailed treatment plans
- Clear pricing breakdowns
- Information about included services and potential additional costs
This prevents unexpected expenses and helps patients make informed decisions.
Choosing with Professional Guidance
For international patients, comparing clinics and treatment options can be complex. This is where Healthy Türkiye plays an important role.
Healthy Türkiye works with carefully selected clinics and experienced implant surgeons across Turkey, ensuring that patients are matched with the most suitable provider for their needs. From initial consultation to treatment planning and travel organization, the entire process is professionally coordinated.
This structured approach allows patients to confidently choose the best clinic for full mouth dental implants Turkey and achieve safe, high-quality, and long-lasting results.
Frequently Asked Questions
Yes, many international patients travel alone for full dental implants in Turkey. Clinics experienced in medical tourism provide English-speaking coordinators, airport transfers, and 24/7 patient support to ensure safety and comfort throughout your stay.
Yes, general anesthesia is available upon request, especially for patients with dental phobia or complex surgical needs. However, most full mouth implant procedures are safely done under local anesthesia with sedation, minimizing risks and recovery time.
Some clinics in Turkey offer immediate loading implants, also known as “teeth in a day,” where a temporary fixed prosthesis is placed shortly after surgery. This option depends on your bone quality and overall oral health.
Most dental tourism clinics in Turkey have multilingual staff fluent in English, Arabic, French, German, and Russian. Communication is typically smooth and clear for international patients.
Yes, reputable clinics in Turkey often offer written warranties for full mouth dental implants and prosthetic teeth, usually covering 5 to 10 years, depending on the materials and treatment protocol.
Yes, advanced clinics in Turkey offer Digital Smile Design (DSD) technology. This allows you to preview your post-treatment smile virtually and helps the dentist plan the ideal functional and aesthetic outcome before surgery begins.